CENTRO MEDICO RENO
Prima visita e Gnatologia
La
prima visita odontoiatrica
rappresenta il momento più importante del percorso di cura, perché permette di ottenere una visione completa dello stato di salute orale del paziente.
Un approccio attento, meticoloso, guidato dall'esperienza e supportato da test e tecnologie digitali, ci consente di individuare precocemente eventuali problematiche e proporre un piano terapeutico mirato.
Valutazione anamnestica accurata
Esame clinico del cavo orale
Valutazione gnatologica
Esame clinico del cavo orale
Il percorso inizia con la raccolta dell’anamnesi pregressa, fondamentale per comprendere lo stato generale di salute, eventuali patologie sistemiche, farmaci assunti e precedenti trattamenti odontoiatrici.
Questa fase ci permette di
personalizzare l’intera visita
e di individuare eventuali fattori di rischio che possono influire sulla salute dentale o sulla pianificazione terapeutica.
Successivamente si procede con una visita clinica approfondita, durante la quale vengono esaminati:
- lo stato di denti e gengive
- la presenza di carie, usura, abrasione dentale
- eventuali segni di malattia parodontale
- l’occlusione dentale e la funzionalità mandibolare
- eventuali problematiche gnatologiche o ortodontiche
La visita è sempre supportata da indagini radiografiche, essenziali per valutare ciò che non è visibile ad occhio nudo, come radici, osso alveolare e presenza di lesioni.
Valutazione gnatologica
Lo sapevi che malocclusioni e postura sono strettamente interconnesse?
Una malocclusione (morso scorretto) altera la posizione della mandibola creando tensioni muscolari che si estendono lungo collo, spalle e schiena, compromettendo l'equilibrio posturale e causando dolore, cefalee e vertigini.
Il corpo trova compensazioni, ma la soluzione stabile a lungo termine richiede un approccio specifico attraverso l'ortodonzia o un byte di riposizionamento.
Il Centro Medico Reno collabora da oltre vent'anni con l'Isokinetic, centro internazionale specializzato in riabilitazione ortopedica.
Planmeca
Radiografia panoramica delle arcate dentarie.

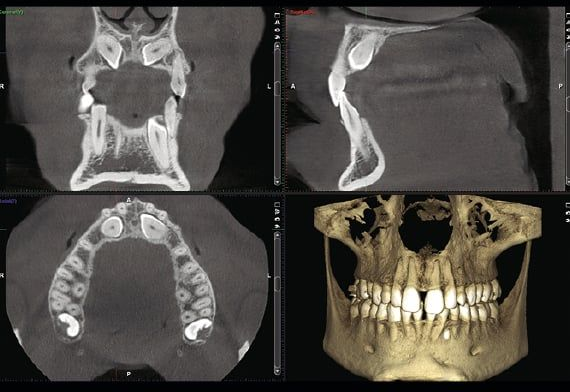
TC Cone Beam
Con questa apparecchiatura vengono eseguiti gli esami 3D delle arcate dentarie.

Bruxismo e serramento
Stress, ansia e tensione emotive sono collegate a parafunzioni involontarie come il digrignamento (bruxismo) che causa usure dentali ed il serramento, cioè la contrazione statica e prolungata dei muscoli, origine di dolori muscolari e problemi all'articolazione temporo-mandibolare.
Disturbi all'ATM e all'orecchio
L' ATM e l'orecchio condividono i percorsi nervosi, perciò un problema articolare può essere percepito come
dolore all'orecchio, esacerbando
acufeni e vertigini. Attraverso esami specifici, lo gnatologo indicherà la terapia appropriata.
Click mandibolare
E' un rumore, uno scatto che si avverte aprendo o chiudendo la bocca, causato da un movimento anomalo del disco articolare nell' ATM. Se accompagnato da dolore, rigidità o blocco, richiede una valutazione specialistica.
Cefalee muscolo-tensive
Esiste una forte correlazione tra malocclusione e cefalee perchè un'occlusione scorretta crea tensione nei muscoli masticatori e posturali, causando dolore a testa, collo e spalle, mal di testa al risveglio, dolore localizzato a tempie, occhi, fronte e nuca, ronzii o acufeni e rigidità cervicale.
Hai bisogno di ulteriori informazioni o desideri un confronto diretto con un nostro specialista?
Compila il form o contattaci: saremo lieti di rispondere alle tue domande e guidarti nel percorso più adatto alle tue esigenze.
Contattaci
Contattaci






